Management of Checkpoint Inhibitor Myocarditis in the CCU

Quick Takes

  • Immunotherapy-related myocarditis-myositis–myasthenia gravis syndrome (called Triple M syndrome) consists of conditions that often overlap and is associated with an exceedingly high mortality.
  • Mortality risk is primarily driven by delayed recognition with subsequent pump failure, electrical instability, or respiratory compromise; early recognition and prompt treatment is critical.
  • Early initiation of plasma exchange may be an effective adjunctive therapy to immunosuppression for patients with fulminant myocarditis and/or clinical evidence of myositis and myasthenia.

Introduction: Case Vignette

A 75-year-old man with a history of remote anterior ST-segment elevation myocardial infarction and stage IV malignant melanoma treated with combination immunotherapy (ipilimumab/nivolumab) presented to the oncology clinic with 3 days of exertional dyspnea and 24 hours of diplopia and neck weakness. The first dose of immune checkpoint inhibitor (ICI) therapy had been administered 17 days earlier. He was referred to the emergency department for further evaluation.

His vital signs were notable for heart rate 59 bpm, blood pressure 79/54 mm Hg, and oxygen saturation 100% on room air. Examination revealed right ptosis, labored breathing, and cool extremities.

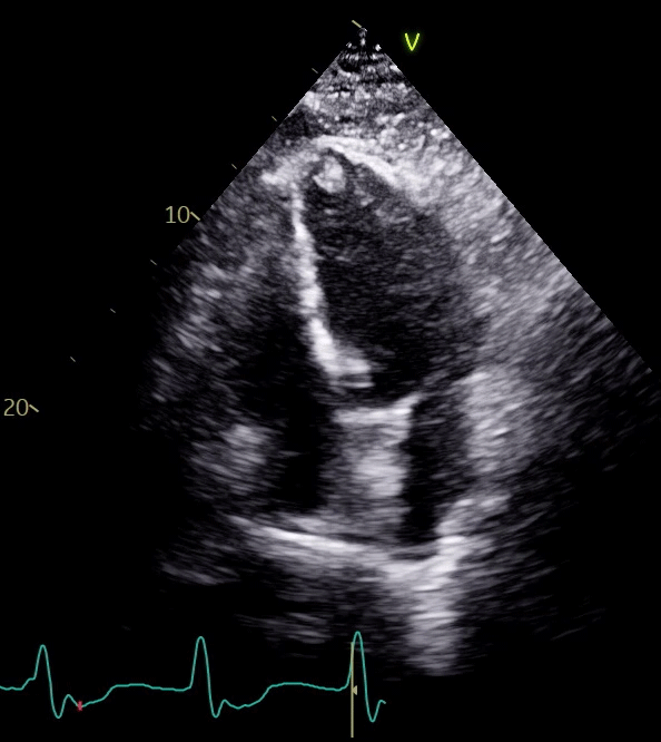
Laboratory study values included high-sensitivity troponin I (hs-TnI) level >25,000 ng/L, creatine kinase (CK) level 11,941 U/L, B-type natriuretic peptide level 224 pg/mL, lactate level 3 mmol/L, C-reactive protein level 1.4 mg/dL, and creatinine level 2.7 mg/dL. An electrocardiogram showed sinus rhythm with complete heart block and ventricular escape (Image 1). An echocardiogram demonstrated left ventricular ejection fraction (LVEF) 25-30%, midapical akinesis, 1.6 x 1.2 cm apical thrombus, and moderate right ventricular dysfunction (Video 1). Right heart catheterization showed equalized pressures (right atrial pressure 12 mm Hg, pulmonary capillary wedge pressure 15 mm Hg) and Fick cardiac index 1.8 L/min/m2. Coronary angiography and endomyocardial biopsy were deferred given clinical instability, acute kidney injury, and high clinical suspicion for the underlying diagnosis.

Image 1: ECG Tracing Showing SR With Complete Heart Block and Ventricular Escape Beats

Image 1

ECG = electrocardiogram; SR = sinus rhythm.

Video 1: Echocardiogram Showing LVEF 25-30%, Midapical Akinesis, Thrombus Measuring 1.6 x 1.2 cm, and Moderate RV Dysfunction

Video 1

LVEF = left ventricular ejection fraction; RV = right ventricular.

Review

The rapid onset of cardiac, neurologic, and musculoskeletal symptoms after recent initiation of immunotherapy is consistent with ICI myocarditis and myositis versus a myasthenia gravis (MG)–like syndrome (i.e., myocarditis-myositis–myasthenia gravis [Triple M] syndrome).

Management of Triple M syndrome is time-sensitive and complex. Patients with fulminant myocarditis in cardiogenic shock and electrical instability (e.g., complete heart block or sustained ventricular tachycardia [VT]) benefit from upfront mechanical circulatory support (MCS) because vasopressors often do not provide adequate durable hemodynamic support.

Myocarditis frequently causes biventricular dysfunction; therefore, isolated left ventricular (LV) support (Impella [ABIOMED] left ventricular assist device [LVAD] or intra-aortic balloon pump [IABP]) is often insufficient; venoarterial extracorporeal membrane oxygenation (VA-ECMO) is the preferred biventricular support strategy. However, extracorporeal membrane oxygenation (ECMO) increases systemic afterload, which is poorly tolerated in the setting of LV dysfunction, so an LV unloading strategy should be considered. Options include an Impella LVAD or IABP; when LV thrombus is present, as in the patient presented in this case, an IABP for unloading is favored to reduce the risk of thrombus-related complications.

Pulse dose steroids (e.g., intravenous [IV] methylprednisolone 500-1000 mg for 3 days) should be initiated immediately while concomitantly stabilizing the patient with MCS.1 As suggested by the 2022 European Society of Cardiology (ESC) Guidelines for Cardio-Oncology, the authors' practice in patients with fulminant myocarditis is to initiate adjunctive nonsteroidal immunomodulator therapy such as abatacept (CTLA4-Ig) and ruxolitinib (JAK inhibitor) upfront, rather than reserving these agents for steroid-refractory disease.2

Because delayed initiation of PLEX is less efficacious in patients with immune-related MG, early plasma exchange (PLEX) is supported by guidelines from multiple oncology societies—the American Society of Clinical Oncology (ASCO), European Society for Medical Oncology (ESMO), National Comprehensive Cancer Network (NCCN), and Society for Immunotherapy of Cancer (SITC).3,4 However, differentiating MG from myositis is challenging due to these conditions' clinical overlap. CK levels and confirmatory antibody testing for MG (i.e., acetylcholine receptor antibody [AChR-Ab] or anti–AChR-Ab; muscle-specific kinase [MuSK] or anti-MuSK) may help; however, the latter are usually send-out laboratory tests and, similar to checkpoint inhibitor–associated arthritis, immune-related MG is often seronegative (one large cohort reported anti–AChR-Ab positivity in only 66% of patients).5,6 Additional assessments include elevated partial pressure of carbon dioxide (reflecting impaired ventilatory capacity) and negative inspiratory force with values less than -30 cm H2O indicating impending diaphragmatic failure. The authors recommend use of noninvasive positive pressure ventilation whenever feasible because early intubation may mask progressive diaphragmatic decline and extubation is often difficult when diaphragmatic involvement is present.

Plasma Exchange

PLEX is an effective therapeutic option in ICI myocarditis, particularly in critical illness or with concomitant MG-like syndrome. PLEX removes blood from the patient and separates plasma via centrifugation while the remaining blood components and replacement fluids (albumin or fresh frozen plasma [FFP]) are returned to the patient. This process removes pathogenic antibodies, cytokines, and possibly ICIs themselves due to their large molecular weight, allowing for rapid reduction in systemic inflammation.3

In the authors' experience, early use of PLEX alongside immunosuppression may improve outcomes in patients with life-threatening immune-related adverse events because there is a small window to reverse systemic inflammation and prevent rapid progression. A recent study described improved outcomes for patients who received frontline intravenous immunoglobulin (IVIG) or PLEX in addition to steroids for ICI-related MG; because PLEX has a more rapid onset of action than IVIG, the authors favor PLEX in the setting of concomitant cardiogenic shock.6 PLEX targets the humoral immune system, providing a rapid but temporary reduction of systemic inflammatory mediators, buying time for slower-acting therapies targeting cellular immune activation to take effect.

Most centers require central venous access via a dialysis catheter or the ECMO circuit to perform PLEX, as well as consultation with nephrology. Replacement fluids with albumin or FFP are required; repeated use of albumin can deplete coagulation factors, requiring a switch to FFP, and coagulation studies including fibrinogen are monitored daily. The authors prefer daily sessions back-to-back upfront with the goal of completing three sessions (after which 70-90% of intravascular plasma components are removed) as quickly as possible and a total of five sessions within 7 days.3 Finally, because PLEX has the largest impact on clearance of large proteins or highly protein-bound drugs with small volume of distribution, knowledge of pharmacokinetics and PLEX clearance of concurrent treatments is critical (Table 1).7

Table 1: PK of Common Immunosuppressive Drug Regimens Regarding PLEX Clearance and Timing Recommendations

Drug
Molecule Size
Vd
t ½
PLEX Clearance
Timing Recommendations
Methylprednisolone ~375 Daa ~1.4 L/kgb ~2.5 hours Negligible Anytime
Abatacept ~92,000 Dac ~0.07 L/kgd ~13 days High Start PLEX 12-24 hours after first dose or re-dose after PLEX complete
Ruxolitinib ~306 Daa ~72 Lb ~3-6 hours Negligible Anytime
IVIG ~150,000 Dae ~0.05-0.13 L/kgf ~14-24 days High Administer after PLEX complete

a Small molecule
b Large Vd
c IgG1 fusion protein
d Small Vd
e IgG
f Very small Vd
PK parameters associated with high likelihood of drug removal by PLEX include large proteins, low Vd, and longer t ½.
IgG = immunoglobulin G; IgG1 = immunoglobulin G1; IVIG = intravenous immunoglobulin; PK = pharmacokinetic; PLEX = plasma exchange; t ½ = elimination half-life; Vd = volume of distribution.

Case Outcome

The patient received urgent pulse dose IV steroids, abatacept, and ruxolitinib. He was cannulated for VA-ECMO and IABP for venting, with improvement in end-organ perfusion; intubation was avoided. However, 12 hours later, his CK and hs-TnI levels failed to decrease by >50%. He exhibited increased work of breathing and ongoing electrical instability with alternating bundle branch blocks and frequent nonsustained VT. PLEX was initiated and he completed five sessions, with clinical improvement. He was successfully decannulated from ECMO, the IABP was removed, and he was discharged to rehabilitation on an accelerated oral prednisone taper and guideline-directed therapy for chronic ischemic cardiomyopathy. Steroids were tapered over 3 months.

He eventually made a full recovery to his prior baseline, with LVEF improving to 45%. He remained in New York Heart Association (NYHA) class I heart failure with no cardiac symptoms and his stage IV melanoma remained in remission without systemic treatment.

References

  1. Palaskas NL, Siddiqui BA, Deswal A. Steroids in immune checkpoint inhibitor myocarditis. JACC CardioOncol. 2024;6(5):800-803. Published 2024 Aug 6. doi:10.1016/j.jaccao.2024.07.002
  2. Lyon AR, López-Fernández T, Couch LS, et al. 2022 ESC guidelines on cardio-oncology developed in collaboration with the European Hematology Association (EHA), the European Society for Therapeutic Radiology and Oncology (ESTRO) and the International Cardio-Oncology Society (IC-OS). Eur Heart J. 2022;43(41):4229-4361. doi:10.1093/eurheartj/ehac244
  3. Katsumoto TR, Wilson KL, Giri VK, et al. Plasma exchange for severe immune-related adverse events from checkpoint inhibitors: an early window of opportunity?. Immunother Adv. 2022;2(1):ltac012. Published 2022 May 27. doi:10.1093/immadv/ltac012
  4. Brahmer JR, Lacchetti C, Schneider BJ, et al. Management of immune-related adverse events in patients treated with immune checkpoint inhibitor therapy: American Society of Clinical Oncology clinical practice guideline. J Clin Oncol. 2018;36(17):1714-1768. doi:10.1200/JCO.2017.77.6385
  5. Ghosh N, Tiongson MD, Stewart C, et al. Checkpoint inhibitor-associated arthritis: a systematic review of case reports and case series. J Clin Rheumatol. 2021;27(8):e317-e322. doi:10.1097/RHU.0000000000001370
  6. Safa H, Johnson DH, Trinh VA, et al. Immune checkpoint inhibitor related myasthenia gravis: single center experience and systematic review of the literature. J Immunother Cancer. 2019;7(1):319. Published 2019 Nov 21. doi:10.1186/s40425-019-0774-y
  7. Knox C, Wilson M, Klinger CM, et al. DrugBank 6.0: the DrugBank Knowledgebase for 2024. Nucleic Acids Res. 2024;52(D1):D1265-D1275. doi:10.1093/nar/gkad976

Resources

Clinical Topics: Dyslipidemia, Heart Failure and Cardiomyopathies, Nonstatins, Cardio-Oncology, Cardiovascular Care Team

Keywords: Cardiovascular Critical Care, Myasthenia Gravis, Plasma Exchange, Myositis, Myocarditis, Immunotherapy